JOINT EFFUSIONS

SHOULDER

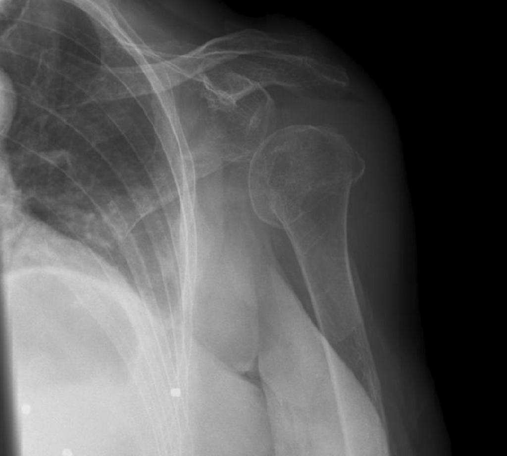
A glenohumeral joint effusion is not usually appreciable on plain film examination unless there is a very large amount of fluid or a lipohaemarthrosis present; ultrasound is the modality of choice for diagnosis and quantification. Given the overlying musculature of the rotator cuff and the absence of readily visible fat planes, abnormal fluid collection is usually only identified by the presence of a pseudosubluxation.

Knee Septic Arthritis
pseudosubluxation secondary to lipohaemarthrosis; hover to reveal annotations
Source: Radiopaedia

'Subluxation' refers to the partial incongruity of the two articular surfaces, as opposed to dislocation which refers to complete incongruity.
'Pseudosubluxation' in the context of shoulder imaging refers to apparent incongruity of the glenohumeral joint secondary to a pathological process (such as effusion) mimicking a true dislocation.

A lipohaemarthrosis of the shoulder appears similar to one of the knee; it indicates an intracapsular bony injury and appears as a fat-fluid line. Do note that the patient must be erect for the fat-fluid line to become evident.

While reporting, the shortest distance between the cortical bone of the inferior aspect of the acromion process and the cortex of the superior humeral head is measured; this is known as the acromiohumeral interval. This measurement relies on a reasonably standard AP projection of the shoulder – lower centred examinations of the humerus may artificially reduce this interval due to the divergent beam. An acromiohumeral interval of greater than 12mm indicates inferior subluxation of the humeral head and should raise the possibility of an effusion.

PRACTICAL POINT: If misalignment of the glenohumeral joint is visible on the AP projection, a second projection MUST be supplied. Pseudosubluxation must be differentiated from actual dislocation and indirect signs on the AP, such as humeral head rotation or empty glenoid are generally not sufficiently reliable to indicate one over the other.
If a pseudosubluxation is mistaken for a dislocation, medical staff may erroneously try to relocate a shoulder which is not dislocated, causing unnecessary suffering for the patient and potentially causing further injury.

NEXT

Return to Library

The Darkroom

Interactive learning resources

Learn bony anatomy from X-ray images - hover over the bones to display the names in learning mode, then test your knowledge and retention in study mode.

Radiology Quiz Machine - charge up the X-ray machine by filling the tank with photons generated by your expansive genius.

Enter the Darkroom

Planned content:

  • Spot the effusion
  • Pathology quickies
  • The Breakroom

    Browser games, some radiology themed, some animal themed, some so vile that you'll wonder whether you'll be on a list afterwards.

    (Spoiler - you will be. The COOL PEOPLE list!)

    Enter the Beakroom

    The Library

    Useful reading materials. Chances are, if you end up in here, you're both well clever and extremely good-looking. Probably also with great hair.

    Enter the Library

    Planned content:

  • Pre-reporting session reading
  • External link list for other radiology resources
  • The Mail Room

    Get in touch. Ideas for future projects, feedback, bug reports and complaints about life are all welcome.

    I set up a special e-mail and everything, go ahead and make it worthwhile.

    Enter the Mail Room

    The Cupboard

    A nice little cubby to store works in progress, as well as things which aren't useful but would be too emotionally crippling to throw away.

    Enter the Cupboard