ANKLE
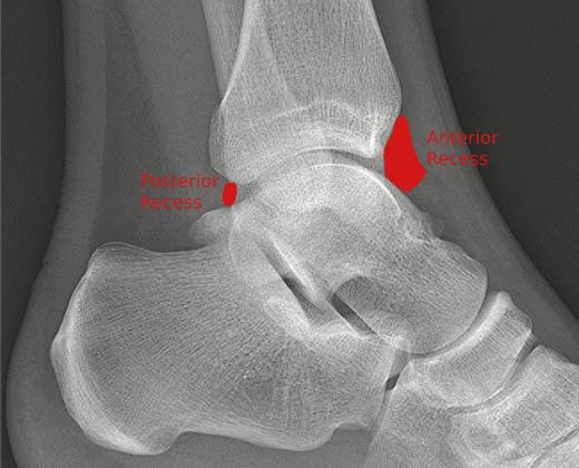
An ankle joint effusion is only appreciable on the lateral projection. The ligaments around the ankle joint (the big deltoid ligament medially and the talofibular/calcaneofibular ligaments laterally) restrict expansion of the joint capsule to the anterior and posterior recesses, small spaces enclosed by surrounding anatomy, shown very approximately below.
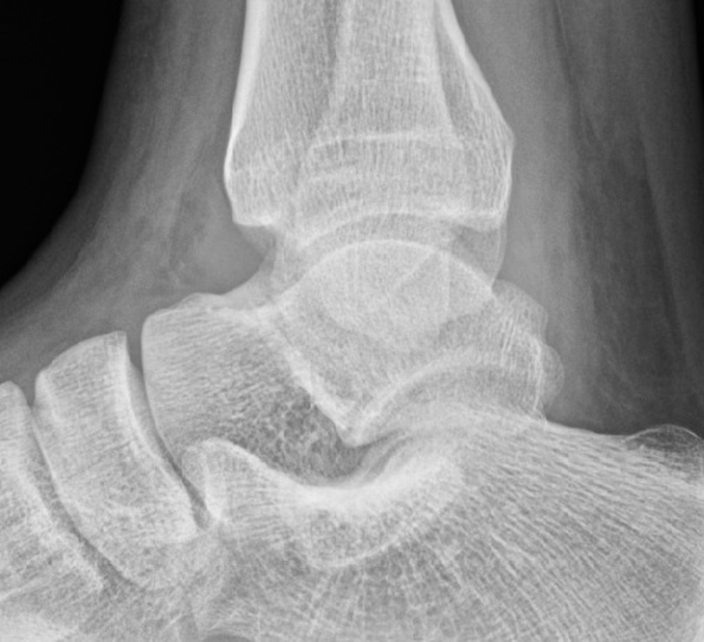
When the joint capsule is expanded by the effusion, the adjacent fat planes are displaced and we see the now familiar, slightly radiopaque culprits. Filling of the posterior recess is poorly appreciated on radiographs due to overlying bony anatomy, therefore looking within the anterior recess for what is known as the “teardrop sign”, a grossly ovoid opacity obscuring or distorting the anterior fat pad, is what will give us our diagnosis of ankle joint effusion.
Source: Radiopaedia
As with any other effusion, this sign is non-specific and doesn’t indicate any particular pathology by itself. Clinical context is important. If the patient has presented with history of trauma, has clinical signs indicating a potential fracture and an effusion is seen with no appreciable bony injury then consider repeat imaging (if non-standard views have been obtained), additional views (if allowed by local protocol) or potentially cross-sectional imaging if index of suspicion is high.

